Szolgáltatásaink
Irányírott Biofilm Terápia
Irányírott Biofilm Terápia
Mi is az Irányírott Biofilm Terápia? Miért válaszd az Air-Flow Polírozás technikát a hagyományos polírozás helyett?
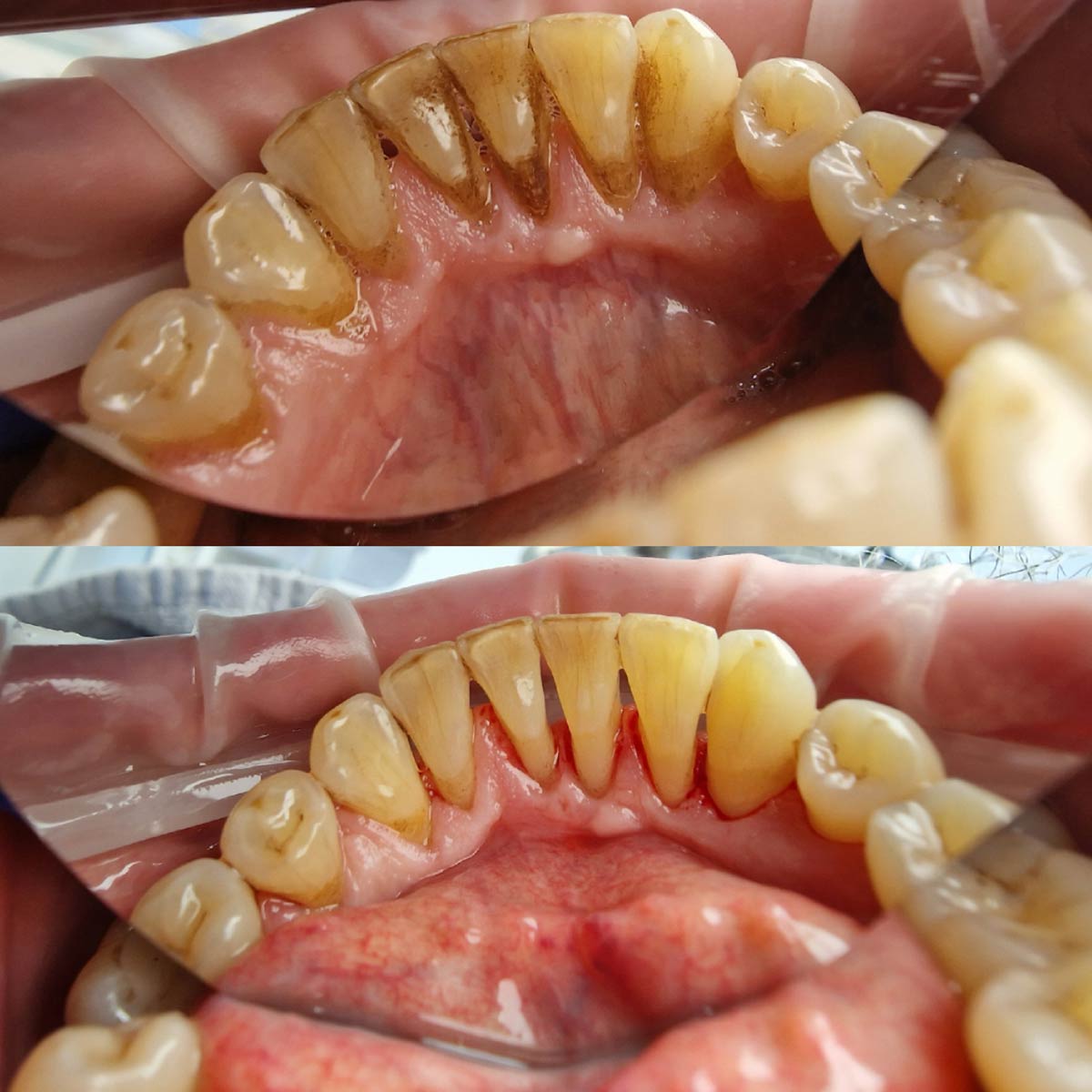
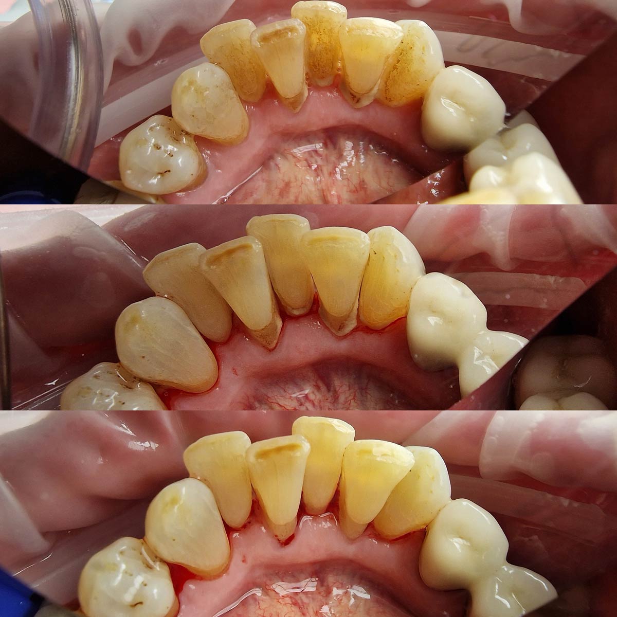
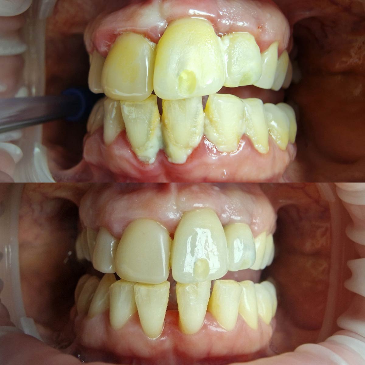
Az Irányírott Biofilm Terápia egy modern, háromlépcsős fogápolási eljárás, amely hatékonyabban és kényelmesebben távolítja el a fogkőtől és elszíneződésektől a fogakat. Az Air-Flow Polírozás módszerével kiemelkedő eredmény érhető el, miközben a hagyományos, kétlépcsős kezeléssel szemben számos előnnyel rendelkezik.
Miért válaszd az Air-Flow Polírozást?
A hagyományos polírozás a legegyszerűbb megoldás azok számára, akiknek nincs jelentős elszíneződésük, illetve túlzott plakklerakódásuk a fogak belső vagy külső felületén. Ha azonban komplexebb problémával küzdesz, az Air-Flow Polírozás a legjobb választás!
Miért érdemes a háromlépcsős kezelés mellett dönteni?
- Első lépés: Homokos polírozás Az első lépés során a makacs elszíneződéseket a homokos polírozás segítségével távolítjuk el. Ezáltal nem szükséges erőteljes fogkőleszedés, így jelentősen csökken a fájdalom, és a kezelés sokkal kényelmesebb lesz, mint a hagyományos módszerekkel. A speciális homok finoman és hatékonyan távolítja el az elszíneződéseket, anélkül, hogy a fogakat sértené.
- Második lépés: Fogkőeltávolítás A már látható fogkő eltávolítása következik, amely az Air-Flow Polírozás során lényegesen fájdalommentesebb a hagyományos kezelésekkel összehasonlítva. A fogkő eltávolítása során az íny és a fogak környékén is kényelmesebbé válik a kezelés.
- Harmadik lépés: Utolsó polírozás Az utolsó lépés a finom polírozás, amely teljesen sima, egészséges és ragyogó fogfelszínt eredményez.
Kiemelt előnyök:
- Kevesebb fájdalom: A homokos polírozásnak köszönhetően a kezelés kellemetlensége minimális.
- Hatékonyabb eredmény: A háromlépcsős eljárás alaposabban távolítja el a fogkőt és az elszíneződéseket, mint a hagyományos eljárás.
- Gyorsabb gyógyulás: Gyulladt íny és subgingivális fogkő esetén a speciális fogkrémek és szájöblögetők segítenek a gyorsabb gyógyulásban, a kezelést végző szakember ajánlásával.
Válaszd az Irányírott Biofilm Terápiát, és élvezd a tükörsima, egészséges és ragyogó fogakat!
Most bevezető áron, csak 37000Ft!



